Smile Gallery

photo 4.jpg

Porcelain Veneers

Chipped and stained teeth restored with six porcelain veneers.

kl1.jpg

Porcelain Veneers

Old defective and stained veneers replaced with eight beautiful porcelain veneers.

hh1.jpg

Porcelain Veneers

Discoloration due to trauma restored with custom porcelain veneers to match neighboring teeth.

mp3.jpg

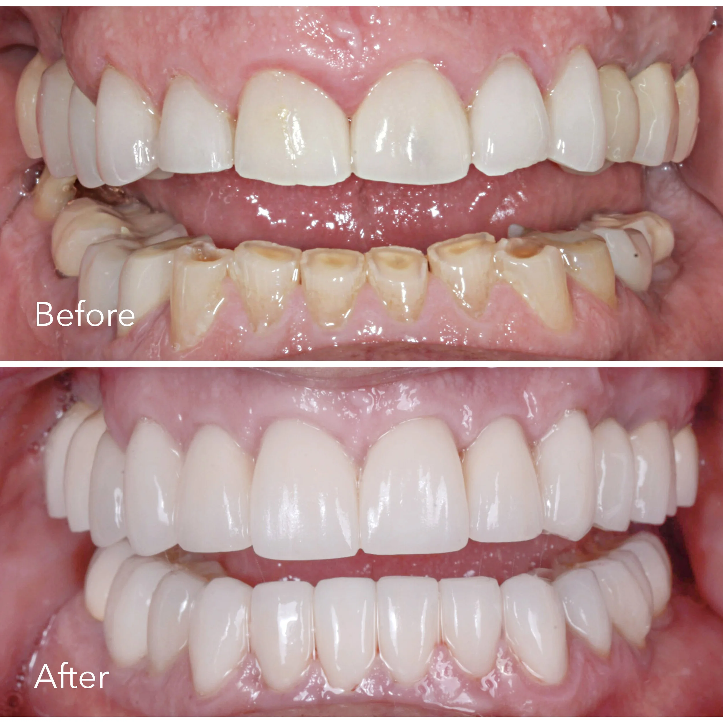
Full Mouth Rehab

Heavily worn teeth from years of grinding restored to health with crowns, veneers, and implants.

mb2.jpg

Resin Bonding

Chipped and stained teeth with spacing restored with beautiful direct resin bonding.

rc3.jpg

Invisalign

Spacing closed with Invisalign orthodontic treatment.